Advice for Patients with Broken Dentures
If a denture has broken there are two important considerations for you:
1) Broken dentures are repairable by replacing the section that has broken. This can be done quite quickly to avoid prolonged embarrassment and is best done by a professional rather than with self applied glue, which will complicate the repair; perhaps even making the denture irreparable.
2) The reason the denture broke is important as a good denture will not normally break. If the break is only due to something like dropping the denture or a resolvable flaw in it’s production, then the repair will be a lasting solution. However, if the break is due to (or affected by) irresolvable loading in the mouth then there is a problem with your denture and your repair will not be a lasting solution. In this case you need to consider the repair as only temporary and get a lasting solution arranged before your denture breaks again. There are some easy ways to tell if your denture broke due to loads in the mouth.
The most common one is a denture that breaks down the middle, see photo. The reason this happens is because there is a bony ridge that runs down the middle of the mouth and a denture that does not fit properly will be bent by this ridge and weakened until it breaks. Even if your denture broke when you dropped it, if it broke down the middle - then it was due to weakening by bending in the mouth. You need to have your denture evaluated after it is repaired to establish the lasting solution before it breaks again. So, I recommend that you ask for a consultation to address the remaining problem. The two most common solutions are a denture re-line, or a new denture; which one depends on many factors such as age & condition of denture, your preference & affordability etc.
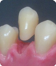
Another common type of break that is due to loading of the denture in the mouth is when a partial denture breaks between natural teeth, see photo. The reason this happens is because there is a stress point in the base design where the natural tooth is located and the denture is weakened by repeated loads in the mouth at this stress point. Even if your denture broke out of the mouth this stress point in the denture is the cause and the repair should be seen as being only temporary. I recommend that you ask for a consultation to address this problem before the denture breaks again. The most common solution for this problem is a new denture made in a different material that has the strength to withstand the loads in the mouth while being designed in such a way as to not suffer from stress concentration points.
There are many other types of breaks that we see in dentures that are less common, too many to show them here. The best thing to do if your broken denture was different to these is ask for advice about the cause when your denture is repaired. We can often give free advice at that time and recommend the best solution for you. If the issues are more complicated then a consultation is required, but these can be usually be arranged within 1 or 2 days or even while your repair is being done. The costs for consultations is reduced by 25% if you are having a repair, so the range is £30 to £60 and that is all you are committing to. Any recommendations we make at a consultation are for your consideration, and you are free to go ahead or reflect and decide later what you choose to do.
There are two types of denture breaks that a repair provides a lasting solution to. These are breaks in stress free areas of dentures that have been caused only by dropping the denture and bonding failures where the denture tooth has become detached from the pink base, see photos.
We have methods of strengthening weak areas of dentures that might break repeatedly if you do not wish to have a new denture etc.
The best solution for all denture problems, however, is to have a new denture that has been designed and made by a professional who cares about the quality of work and reliability for the patient; rather that just cutting prices at the expense of attention to detail. If you choose to have a new denture, as the solution to your denture problem, we have the expertise and commitment to ensure that we exceed your expectations.
Proceed to your next page by just clicking: Denture Repairs New Dentures Clinic Locations Contacts
Thank you for selecting us for your denture care, Stephen Harrison, B.Sc.Hons, Registered Dental Technician.


